Culturalmente es común pensar que el maltrato infantil es natural. Que los gritos, cachetadas y empujones ayudan a la crianza respetuosa. La disciplina y carácter no necesariamente se forjan con malos tratos.
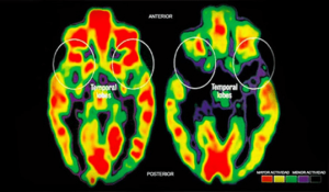
Estudios científicos demuestran que puede generar daños cognitivos tan graves como los que genera la desnutrición. (Reducción del tamaño del hipotálamo, retrasos cognitivos, comprensión del lenguaje, desarrollo psicomotor y motricidad).
Un artículo publicado en Current biology, enuncia que los niños que han sufrodo agresiones desde bebés, tienen mas probabilidades de ser violentos y reactivos. Además tienen mayor riesgo de sufrir psicopatologías en edad adulta.
Inteligencia a las emociones
Normalmente estos métodos de crianza pasan de generación en generación y se normaliza frente a que no nos enseñan qué hacer con la rabia, la tristeza o el miedo que se manifiesta en gritos, golpes y maltrato infantil. También porque destinamos la educación emocional a patrones de conducta dictados por la religión, la espiritualidad o el docente en la escuela que cada vez atiende más niños por año.

Sabemos que el miedo también es un condicionante de la violencia, sin ser una excusa para el maltrato, por eso nuestro propósito se centra en ponerle inteligencia a las emociones.
Con actos simples y cotidianos, con entrenamiento y disciplina generar hábitos y conciencia en el cambio de comportamientos aprendidos que nos ayudan a vivir una vida más tranquila a pesar de las dificultades cotidianas, el estrés y el cansancio.
Utilizamos el afecto como motor de cambio, que permita construir ambientes de paciencia, seguridad y confianza; respaldando un crecimiento sano en el desarrollo de la salud mental de los niños por eso nuestra excusa para manifestar el afecto es un abrazo. Un Abrazador es un personaje de un libro que existe para abrazar. A través de las aventuras que vive en una isla, aprende a usar su cuerpo como instrumento y lo que ama como una guía para aprender a sentirse bien consigo mismo.
Además, nuestro particular personaje, el Abrazador, se manifiesta en un muñeco que simula la sensación de un abrazo y cuya excusa al abrazarlo, es abrazarse a si mismo.


